Alpharetta Creek Restorative Dentistry
Call Us

Improve Health And Smile

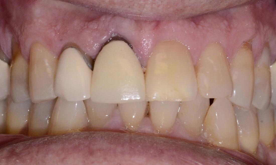
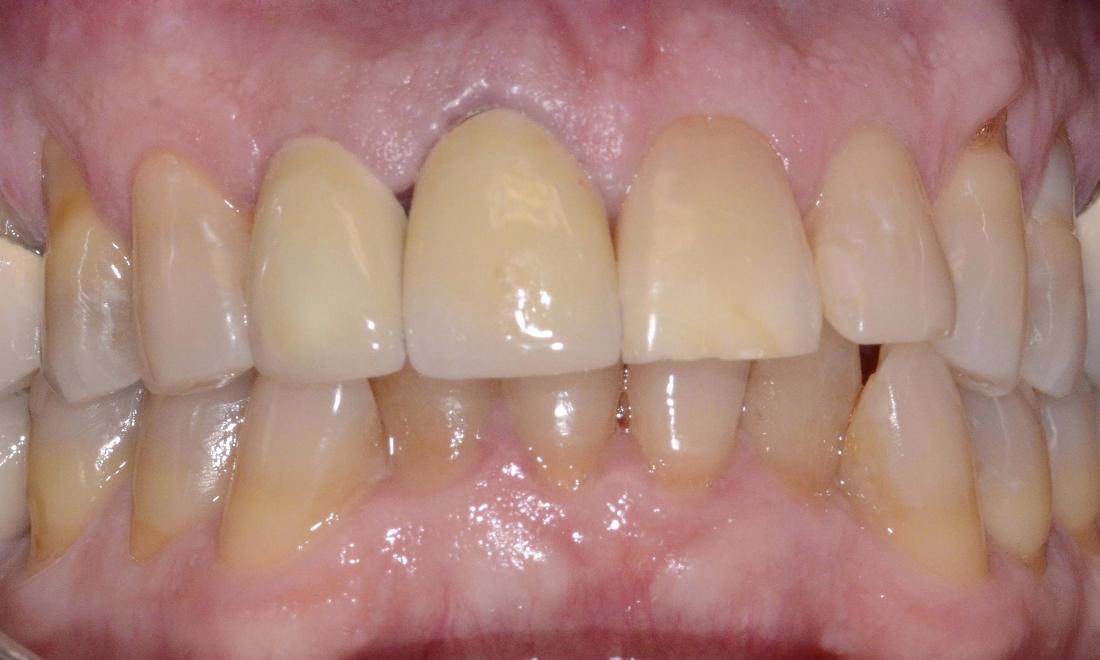
On routine exam, we found decay underneath two of the patient's existing crowns. We were able to not only save these teeth but also make them look "less like crowns."

Related Services:

Crowns & Bridges
Alpharetta Creek Restorative Dentistry: Kai Liang, DDS - Video Testimonial
Ready to book an appointment?
If you have difficulty using our website, please email us or call us at (770) 777-2803
View the ADA Accessibility Statement