Alpharetta Creek Restorative Dentistry
Call Us

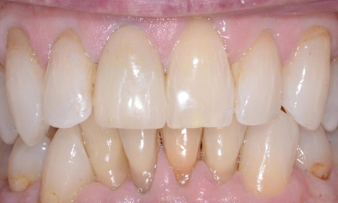
Replacing Crown On A Front Tooth

This patient came in with part of the crown missing on the palate side. Our goal for this patient was to restore this tooth back to health and to do our best to match it to the rest of the teeth. With the use of photos and having lab technician at the delivery appointment, we were able to achieve our patient's expectation.

Related Services:

Crowns & Bridges
Alpharetta Creek Restorative Dentistry: Kai Liang, DDS - Video Testimonial
Ready to book an appointment?
If you have difficulty using our website, please email us or call us at (770) 777-2803
View the ADA Accessibility Statement