Skip to main content
Alpharetta Creek Restorative Dentistry
Call Us
Alpharetta Creek Restorative Dentistry
Call Us
Request an Appointment
Visit us on Yelp
Watch our Youtube Videos
Leave a Google Review
(770) 777-2803
4380 Kimball Bridge Road
Alpharetta, GA 30022
4380 Kimball Bridge Road
Alpharetta, GA 30022
Read Our Reviews
Home
About
Our Team
Technology
Office Pictures
Services
View All
Cosmetic Dentistry
Crowns & Bridges
Dental Implants
Emergency Dentistry
Full & Partial Dentures
General Dentistry
Periodontal Treatment
Porcelain Veneers
Root Canals
Teeth Whitening
Tooth Extraction
Tooth-Colored Fillings
Clear Aligners
Smile Gallery
Patient Info
View Patient Info
Testimonials
Forms
Financial
FAQs
Dental Blog
Contact
Alpharetta Creek Restorative Dentistry
>
Smile Gallery
>
Restoring Smile With Implant and Crown
Restoring Smile With Implant and Crown
Return to Smile Gallery
Previous
Next
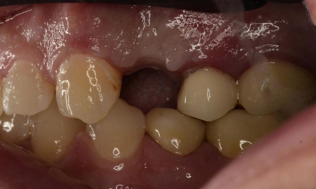
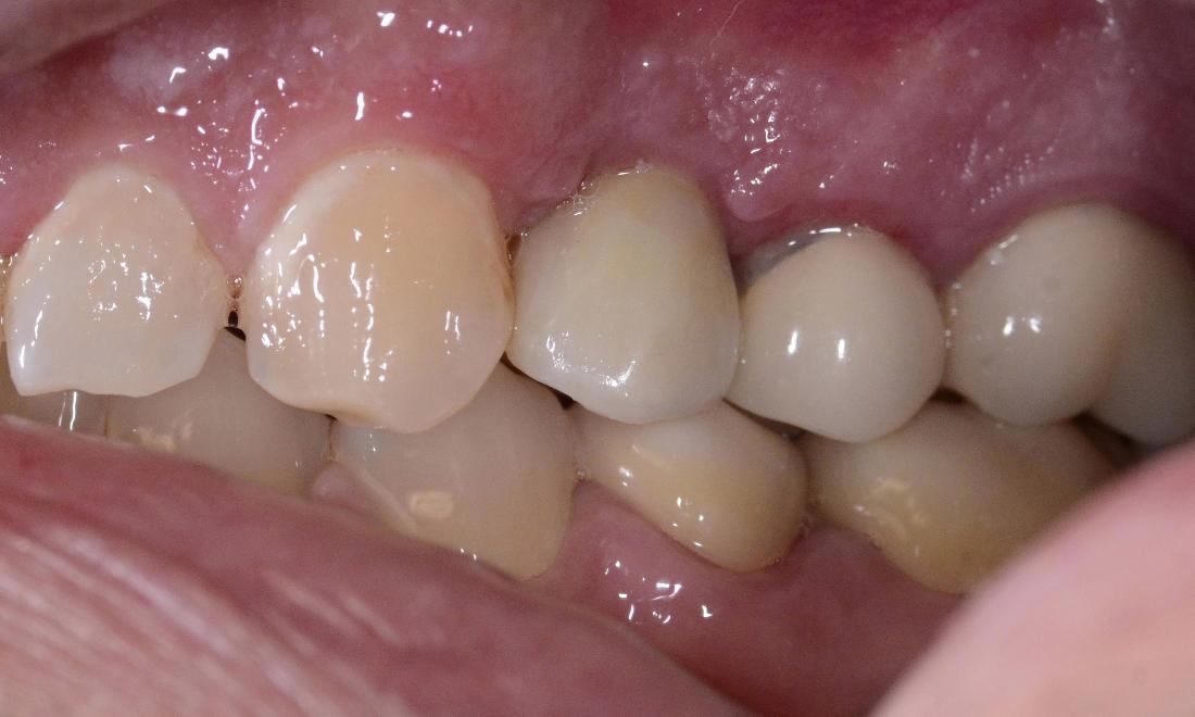
Replacing missing tooth in the smile zone with implant and crown
Related Services:
Crowns & Bridges
Dental Implants
Before
After
Getting an appointment is
fast
and
easy
!
Get Started!
OK!
×
×
Contact Us Today
Give Us A Call
Alpharetta Creek Restorative Dentistry -
(770) 777-2803
Send Us an Email
Book Online
Contact Us
Ready to Schedule an Appointment?
Book Online
Have Questions? Contact Us:
Required Field
Your Name:
Phone:
Email:
Are you a new patient?:
Are you a?
New Patient
Current Patient
How would you like us to contact you?
Please choose
Email
Call
How did you hear about us?
Please choose
I'm an existing patient
Google/Bing
Mailer
Word of mouth
Social media
Other
Who Referred You?:
Appointment Preferences
Monday
Tuesday
Wednesday
Thursday
Friday
Your Message:
This site is protected by reCAPTCHA and the Google
Privacy Policy
and
Terms of Service
apply.
Sending...
×
This Patient's Experience
Loading Testimonial...
Loading Case...