Alpharetta Creek Restorative Dentistry
Call Us

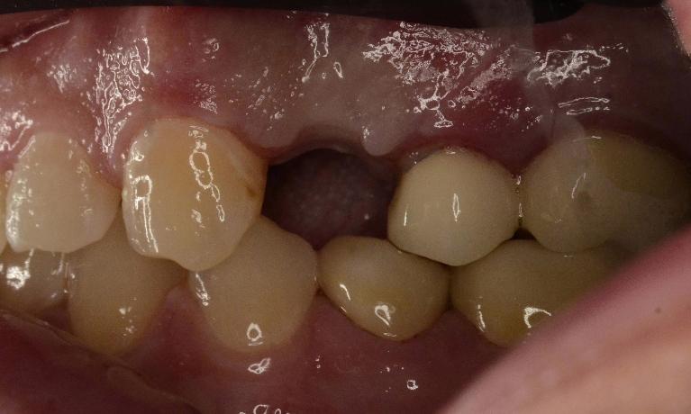
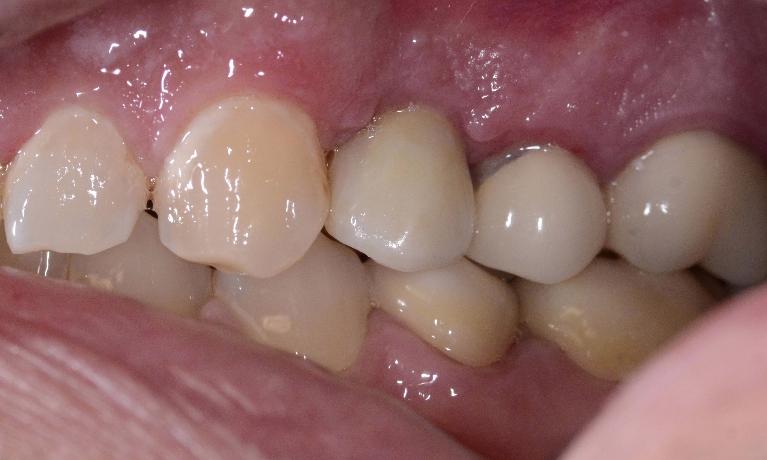
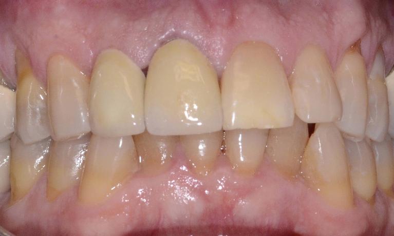
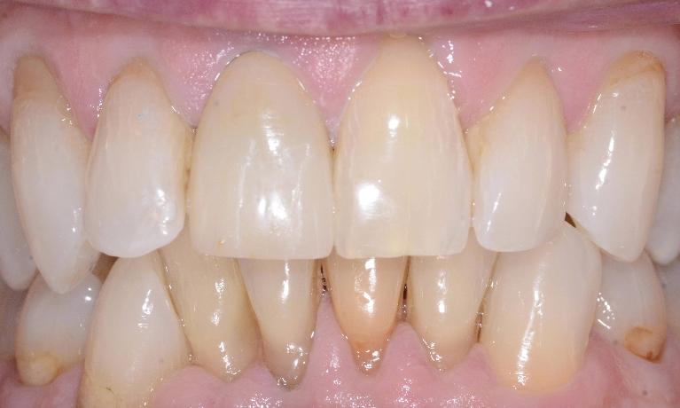
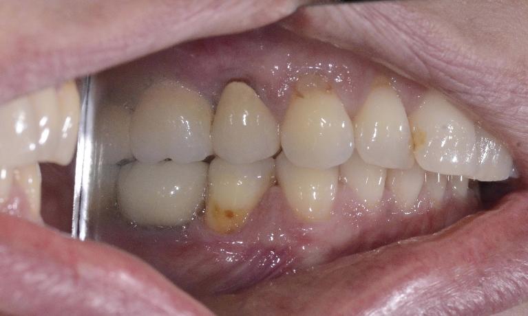
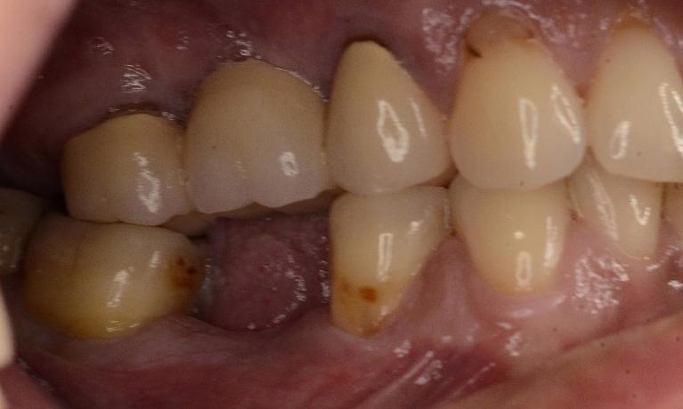
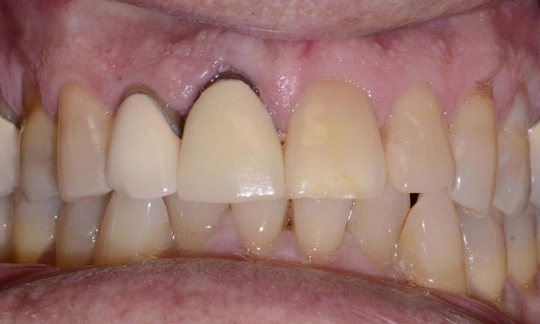
Smile Gallery: Crowns & Bridges

Most people will say there’s something they would like to change about their smile, whether it’s as simple as a professional teeth whitening treatment or a more complex procedure like a full smile makeover. But you may have trouble picturing exactly how those changes will affect your appearance.

You can be confident that Dr. Kai Liang will work closely with you to find the best possible solution – one that leaves you with a beautiful smile and healthier teeth. If you would like to get an idea of some of the types of dental work we do and the results we achieve, please take a look through our smile gallery, then give us a call so we can get started!

 

Ready to book an appointment?
Alpharetta Creek Restorative Dentistry: Kai Liang, DDS - Video Testimonial
If you have difficulty using our website, please email us or call us at (770) 777-2803
View the ADA Accessibility Statement